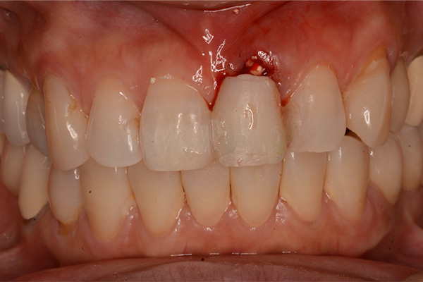
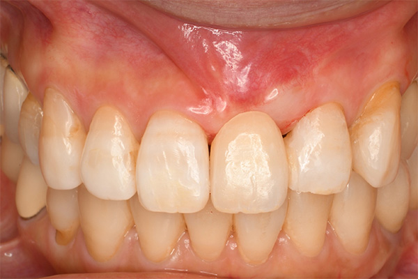
症例1


| 【主訴】 | 70代女性 歯が動く |
|---|---|
| 【診断】 | 歯根横破折 |
| 【治療内容】 | 歯根挺出(部分矯正)から抜歯 抜歯窩結合組織移植術後にジルコニアシングルブリッジ装着 |
| 【費用】 | おおよそ700,000円 |
| 【治療期間】 | 1年8カ月 |
| 【治療回数】 | 30回 |
| 【留意点】 | 手術が必要 |
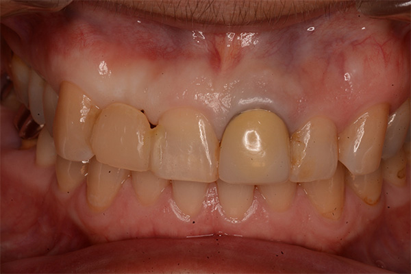
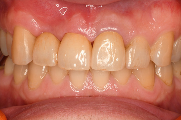
症例2


| 【主訴】 | 50代女性 歯が取れた 前歯の色が気になる |
|---|---|
| 【診断】 | 歯根吸収・不良補綴物 |
| 【治療内容】 | 抜歯窩結合組織移植術後にジルコニアによる補綴物装着 |
| 【費用】 | おおよそ600,000円 |
| 【治療期間】 | 7カ月 |
| 【治療回数】 | 15回 |
| 【留意点】 | 手術が必要 |



