世田谷区祖師谷の歯科医院「むね歯科クリニック」症例集

70代女性 歯が動くんです。
歯根を牽引

改めて矯正線での部分矯正を行う

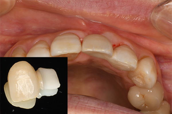
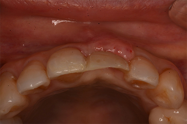
抜歯9ヶ月後(左)歯肉にヘコみができているので手術で歯肉を増大させる
2週間後、赤みは残るが歯肉の厚みは増えた(右)
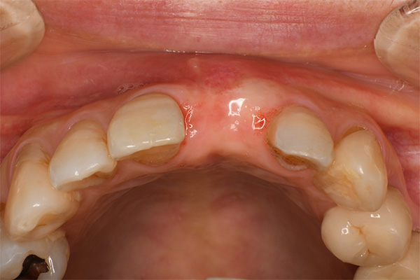
左隣りの歯の裏側を削る切削量は最小限
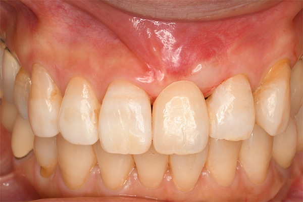
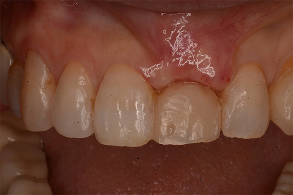
装着時、歯肉は左右対称に近い感じになる


Copyright (c) 2015 MUNE DENTAL CLINIC. All Rights Reserved.
© 2015 MUNE DENTAL CLINIC. All Rights Reserved.