世田谷区祖師谷の歯科医院「むね歯科クリニック」症例集
世田谷区祖師谷の歯科医院「むね歯科クリニック」症例集
私たちの姿勢
治療の進め方
クリニック内のご案内
歯周組織再生療法
組織誘導再生療法・
根面被覆術・結合組織移植術
精度の高い拡大治療
歯科用顕微鏡を用いた
歯の神経の治療
歯科用顕微鏡を用いた
虫歯の治療
歯科用顕微鏡を用いた
歯周治療
大人になってからの歯列矯正
審美歯科
金属を使わない白い歯
ジルコニアセラミックス
白い歯を目指す
ポーセレラミネートベニア
ホワイトニング
その他の診療内容
アクセス
治療費用
その他の診療科目
私達と一緒に働いてみませんか
採用フォーム
歯科衛生士
歯科助手
初診のご予約
むね歯科つれづれ
(院長ブログ)
【月・火・水・金・土】
9:00~12:30
14:00~18:30
※最終診療受付は診療終了の30分前まで
トップ
症例集
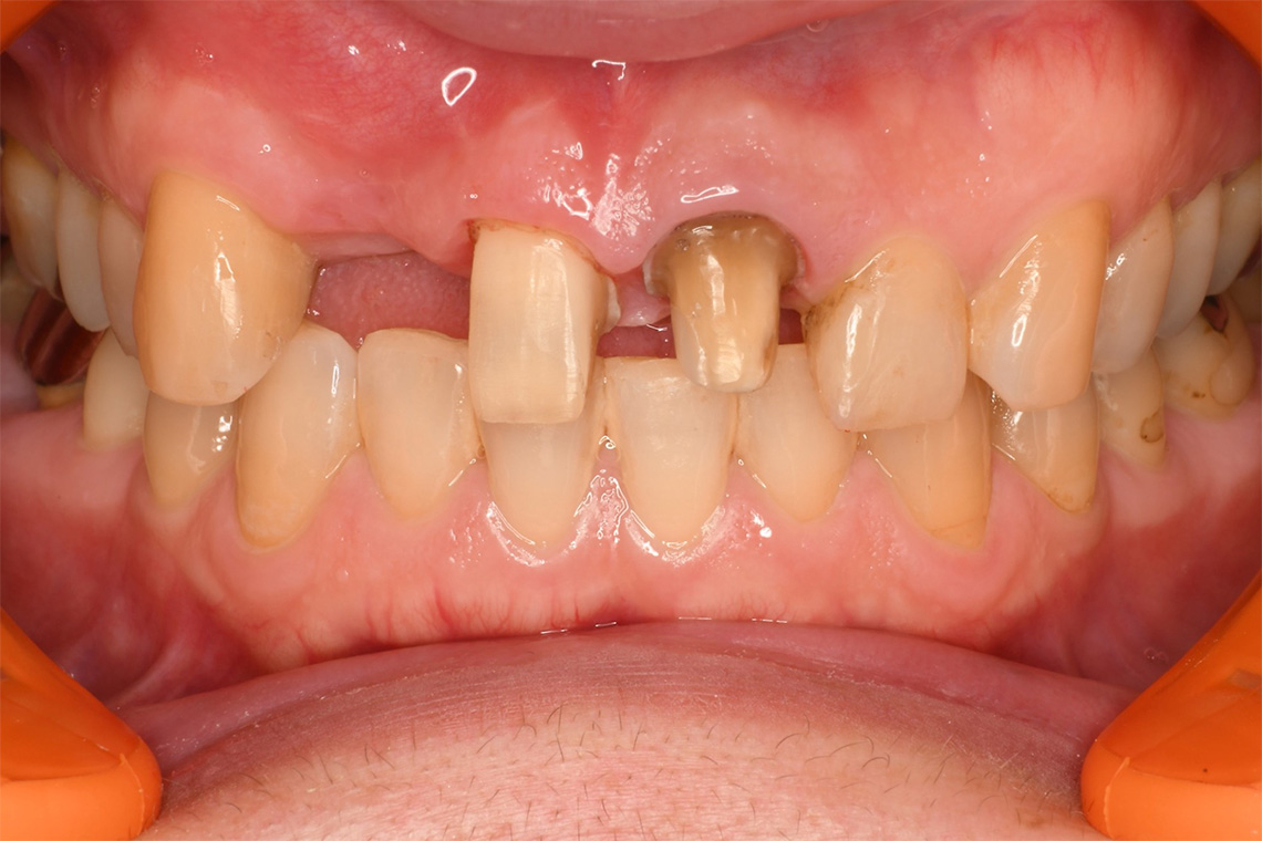
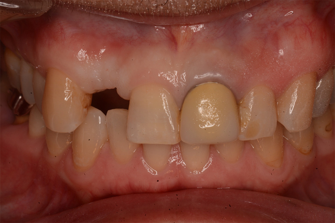
50代女性 歯が取れたし前歯の色が気になるんです。
歯肉の陥凹。左側前歯はメタルシャドウ
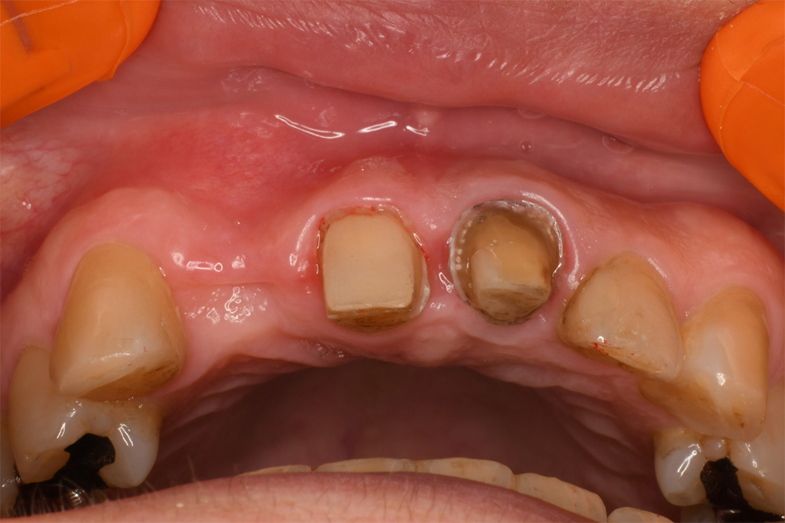
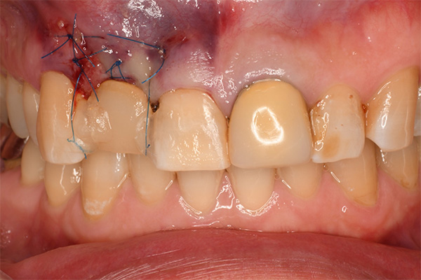
歯肉増殖。手術実施
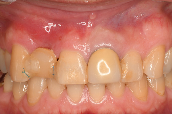
術後2ヶ月
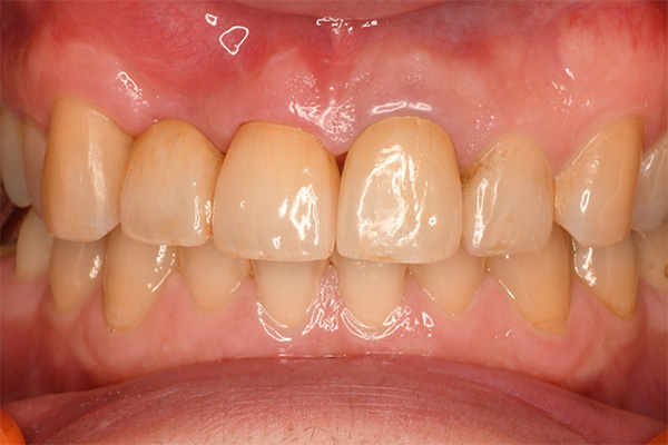
噛み締めグセが強いので裏側は手をつけない。表面のみ切削して作製
はめる前
はめた後
Copyright (c) 2015 MUNE DENTAL CLINIC. All Rights Reserved.
© 2015 MUNE DENTAL CLINIC. All Rights Reserved.